<h2 id="l641k2os"><person id="kdr4dt5blz"></person></h2>
中文 / English 您是第 2195161 位访问者,欢迎您!
400-021-2021
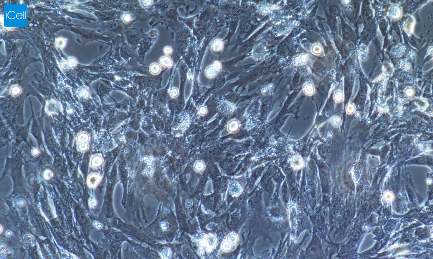
兔原代滑膜成纤维细胞
Synovial Fibroblasts Cells

货号:RAB-iCell-s004

价格: 4050.0

规格: 5*10 5   

数量: +

细胞详述
滑膜是关节囊的内层,淡红色,平滑闪光,薄而柔润,由疏松结缔组织组成。关节腔内的所有结构,除关节软骨、半月软骨板以外,即便是通过关节腔的肌腱、韧带等均全部为滑膜所包裹。
滑膜分泌滑液,在关节活动中起重要作用。正常滑膜分为两层,即薄的细胞层(内腔层)和血管层(内膜下层),是血管丰富的关节囊内膜,贴附于非关节面部分,覆盖于关节囊内的骨面上,不在软骨面上,此部分称为边缘区或“裸区”。滑膜呈粉红色,光滑发亮、湿而润滑,有时可见绒毛,内含胶原性纤维。
滑膜细胞有A、B两型。巨噬细胞样A型细胞,表面有丝状伪足、浆膜内陷、囊泡、线粒体、溶酶体、胞浆纤维和高尔基体,具有吞噬功能;B型成纤维样滑膜细胞(FLS) ,有高浓度的内质网结构,是介导 RA 关节破坏的主要细胞。
细胞特性

1)细胞来源于实验动物正常关节组织。
2)细胞鉴定:波形蛋白(Vimentin)免疫荧光染色为阳性。
3)经鉴定细胞纯度高于90%。
4)不含有 HIV-1、 HBV、HCV、支原体、细菌、酵母和真菌。
5)细胞生长方式:成纤维样细胞,贴壁培养。
产品的运输和保存
视天气状况和运输距离远近,公司与客户协商后选择下述方式中的一种进行。
1)1mL冻存细胞悬液装于1.8ml的冻存管中,置于装满干冰的泡沫保温盒中进行运输;收到细胞后请尽快解冻复苏细胞进行培养,如无法立刻进行复苏操作,冻存细胞可在-80℃的条件下保存1个月。
2)T-25培养瓶充满完全培养基后进行常温运输;收到细胞后请镜下观察细胞生长状态,如铺瓶率超过85%请立即进行传代操作,如悬浮的细胞较多,请将培养瓶至于培养箱中静置过夜以帮助未死亡的悬浮细胞能够再次贴壁。
产品使用

1)本产品仅能用于科研
2)本产品
未通过直接用于活体动物和人的审核
3)本产品未通过用于活体诊断的审核

IMG_3599.jpg

 原代成纤维细胞培养体系

IMG_3706.jpg

             胎牛血清

微信图片_20200110123042.jpg

            P / S 双抗

IMG_3702.jpg

           PBS缓冲液

IMG_3719.jpg

            胰蛋白酶

IMG_3710.jpg

          细胞冻存液

IMG_3713.jpg

Fluoromount-G荧光封片剂

IMG_3757.jpg

            细胞爬片

IMG_3717.jpg

        Triton X-100

IMG_3731.jpg

              胶原酶I

IMG_3734.jpg

          细胞冻存管

IMG_3737.jpg

           细胞培养瓶

IMG_3741.jpg

             离心管

IMG_3750.jpg

            培养孔板

IMG_3748.jpg

                移液管

IMG_3745.jpg

            细胞培养皿

序号

产品名称

货号

规格

售价

1

内皮细胞培养基ECMsciencel

icell-0016

500ml

2280

2

动物上皮细胞培养基Epicm-a

icell-0015

500ml

1980

3

上皮细胞培养基Epicm

icell-0017

500ml

1980

4

培养基DK-SFM

10785-012

500ml

2280

5

Neurobasal-A 培养基

icell-0013

500ml

2280

6

MIL-2

212-12

5ug

1216

7

N2添加剂

Gibco.17505048

5ml

1605

8

IL-3细胞因子

 

2ug

1216

9

B27无血清添加剂

Gibco.12587010

10ml

1238

10

内皮细胞生长因子

1052

5ml 100X

1183

11

胶原酶I

gibco原装17100-017

1g

2280

12

胶原酶II

gibco原装17101-015

1g

2280

13

胶原酶IV

gibco原装17104-019

1g

2280

14

小鼠外周血淋巴细胞分离液试剂盒

P8620

200ml

1014

15

人外周淋巴细胞分离液

 

200ml

439

1. 售后服务告知书.pdf   下载
2. 细胞复苏、传代与冻存操作流程 -- .pdf   下载
注意事项

1.收到细胞后,若发现干冰已挥发干净、冻存管瓶盖脱落、破损及细胞有污染,请立即与我们联系。

2.收到细胞先不开瓶盖,瓶身擦拭酒精后放在培养箱静置2-4小时(视细胞密度而定)稳定细胞状态。接着在倒置显微镜下观察细胞生长情况,并对细胞进行不同倍数拍照(建议收细胞时就整体外观拍一张照片,观察培养基的颜色和是否有漏液情况,随后在显微镜下拍下细胞状态,100*,200*各一张),观察记录细胞在运输过程中是否有污染情况。作为我方进行销售依据。

3.由于细胞状态受环境、操作和运输等多方面因素影响,故本公司只保证客户收到细胞后一周内的细胞状态,故客户需要售后时需出示收到细胞的时间证明及客户提供收货时间和发现问题后客服人员沟通的时间证明,期间间隔时间不能大于7天。

4.所有动物细胞均视为有潜在的生物危害性,必须在二级生物安全台内操作,并请注意防护,所有废液及接触过此细胞的器皿需要灭菌后方能丢弃。

5.客户在细胞培养过程中,有任何技术问题可以拨打技术售后服务电话:021-34512991,我们随时给予解答。

你可能感兴趣

骨细胞
RAB-iCell-s001
成骨细胞
RAB-iCell-s002
软骨细胞
RAB-iCell-s003
骨骼肌细胞
RAB-iCell-s005
纤维环细胞
RAB-iCell-s007
合作单位: